발가락이 휘어져 통증으로 고통받는 분이 참 많은것 같습니다. 그 중 가장 흔한 증상이 바로 무지외반증으로 인한 통증인데요. 높은 굽의 신발을 주로 신음으로써 생기는 질병으로 알려진 무지외반증에 대해 좀 더 자세히 알아보겠습니다.
무지외반증이란?
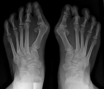
무지외반증이란 엄지발가락의 중족지관절이 튀어나와 중앙쪽으로 굽어져 발의 형태가 변형된 것을 말합니다. 엄지발가락이 두번째 발가락쪽으로 심하게 휘고, 엄지발가락과 관절을 이루는 종족골은 반대로 안쪽으로 치우쳐서 변형이 일어난 것인데요.

무지외반증은 보기에도 나쁠뿐만 아니라 신발을 신었을때 돌출된 뼈와의 마찰을 통해 심한 통증이 유발됩니다. 또한 엄지발가락쪽에 실려야할 압력이 두번째, 세번째 발가락쪽으로 이동되면서 발바닥쪽에 굳은 살이 생길 수 있습니다.
또한 발가락 뼈사이의 신경이 눌려지면서 신경이 붓고 통증이 발생하는 지간신경종이 생길 가능성도 있습니다.

무지외반증 원인
무지외반증은 높은 굽의 구두나 발가락쪽이 좁은 신발을 신음으로써 발생한다고 많이 알려져있는데요. 그래서 무지외반증 환자의 90%가 여성에게서 발생합니다. 그 외에도 선천적, 후천적인 다양한 원인으로 생길 수 있습니다.
선천적인 요인으로는 평발과 넓적한 발, 과도하게 유연한 발 등을 들 수 있는데요. 후천적인 요인으로는 앞서도 언급한 것처럼 편안하지않은 신발을 장시간 착용하면서 일어날 수 있습니다.
또 유전학적으로 모계유전의 확률이 높고, 류미티스 관절염의 합병증으로도 생긴다고 알려져있습니다.
무지외반증의 치료
아프고 신경쓰이는 무지외반증을 그냥 방치한다고 해서 자연적으로 치료되는 것은 아닙니다. 무지외반증을 합병증으로 퇴행성 관절염이 생기거나 전체적인 밸런스가 깨져 온몸에 문제가 생길 수있기 때문에 제때에 치료하는 것이 중요한데요.
통증이 심해서 병원을 방문했다면, 전문의가 육안으로 또는 엑스레이를 통해서 무지외반증을 진단할 수 있습니다. 무지외반증이 진행성 질환인가에 대해서는 아직 논란의 여지가 있으며, 자연치료 가능성에 대해서는 알려진 바가 없습니다. 따라서 수술적인 치료와 보존적인 치료가 병행되어야만 치료될 수 있다고 보여지는데요.

무지외반증을 치료하는 방법의 가장 기본은 수술치료이지만 환자의 치료여부는 환자의 주관적인 불편함의 정도가 가장 중요합니다. 변형이 심하다고 해도 환자가 수술을 원하지않는다면 수술이 불가피한것은 아니라는 것이죠.
수술을 한다고해도 수술자국이 남을 뿐더러 다시 예전처럼 하이힐을 신을 수 있는 상태가 되는 것을 뜻하지는 않습니다.
그래서 무지외반증의 치료방법으로 가장 흔하게 시행하는 것이 바로 보존적 치료입니다.
1. 편안한 신발
편안한 신발을 신는것은 무지외반증을 예방할 뿐만 아니라 더 진행되는 것을 막을 수 있습니다. 발가락부분에 여유가 많고 발바닥의 쿠션감 있는 굽낮은 신발을 선택합니다. 발가락통증이 심하다면 무지외반증 신발로 판매하는 제품을 사용하는 것도 도움이 됩니다.
2. 무지외반증 교정기
무지외반증 교정기는 다양한 형태의 제품들이 시중에 나와있는데요. 단순히 발가락의 통증을 줄여주는 밴드형태부터 휘어진 발가락을 바로잡을 수 있도록 고안된 형태까지 다양합니다.
그리고 엄지발가락과 두세번째 발가락 아래의 발바닥이 자극되지 않도록 신발안에 깔창을 넣는 방법도 도움이 됩니다.
코비츠 무지외반증 발가락 교정기 1+1
COUPANG
www.coupang.com
3. 무지외반증 운동
서서히 변형된 발가락을 되돌리기 위해 자가치료방법으로 꾸준한 운동도 도움이 될텐데요. 집에서도 실천할 수 있는 어렵지않은 무지외반증 운동을 따라하면서 발가락통증을 없앨 수 있습니다. 유튜브 채널 '관절사용설명서'의 영상을 참조하였습니다.

앉은 상태에서 발가락이 앞을 향하도록 한다음, 모든 발가락을 들어올려주세요.

새끼발가락부터 바깥쪽으로 벌리면서 바닥을 짚어줍니다.

그 다음 엄지발가락도 내려서 지면을 눌러줍니다. 두번째, 세번째, 네번째 발가락은 그대로 올린 상태를 유지해주세요.

엄지발가락을 더 벌립니다. 이때 엄지발가락을 따라 발바닥부분에 힘이 들어가는 것이 느껴집니다.

지면을 누르는 동작을 3초간 유지해주면서, 같은 동작을 12회씩 3세트 해주세요. 운동횟수는 개인마다 다르며 할 수 있는 만큼 하시면 되겠습니다.
참고 : 네이버 지식백과

댓글